Braces

Everything you need to know about traditional braces and care instructions

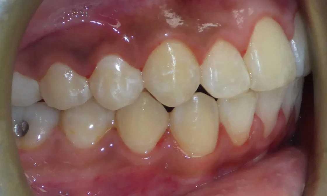
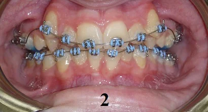
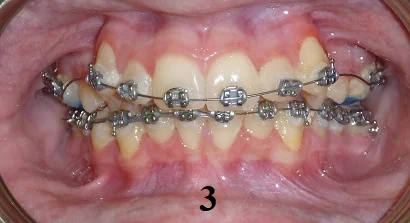
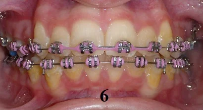
Traditional metal braces
Traditional Braces

What Are Traditional Braces?

Traditional braces are one of the most common ways of aligning your teeth. They consist of brackets, wires, and o-ties (the colored rubber bands). You will be coming in about every five weeks for adjustments.

At these adjustments we will be changing your o-ties (your colors) and checking the alignment of your teeth. When checking your alignment we may change your wires or complete other procedures for optimal alignment.

✓

Most Effective

Best for complex alignment cases

✓

Customizable Colors

Choose new colors at each visit

✓

Predictable Results

Time-tested treatment method

Treatment Progress

See the Journey

Watch how braces transform smiles over time

TipEdge Braces - Step 1

Step 1

Initial assessment

TipEdge Braces - Step 2

Step 2

Beginning treatment

TipEdge Braces - Step 3

Step 3

Early progress

TipEdge Braces - Step 4

Step 4

Teeth shifting

TipEdge Braces - Step 5

Step 5

Midway through treatment

TipEdge Braces - Step 6

Step 6

Continued alignment

TipEdge Braces - Step 7

Step 7

Final adjustments

TipEdge Braces - Step 8

Step 8

Almost there

TipEdge Braces - Step 9

Step 9

Treatment complete!

Care Instructions

Taking Care of Your Braces

Follow these guidelines to ensure the best results from your treatment

🚫 Foods to Avoid

To prevent damage to your braces, please avoid the following foods:

Hard Foods

  • Ice
  • Hard candy
  • Nuts
  • Popcorn
  • Hard pretzels
  • Raw carrots (cut into small pieces)

Sticky Foods

  • Caramel
  • Taffy
  • Gummy bears
  • Starburst
  • Now and Laters
  • Laffy Taffy

Chewy Foods

  • Bagels (tear into pieces)
  • Hard rolls
  • Pizza crust
  • Beef jerky

Other

  • Corn on the cob (cut off)
  • Apples (cut into pieces)
  • Biting into sandwiches/burgers
  • Chewing on pens/pencils

🦷 About Your Braces

Congratulations on getting your braces! Here's what to expect:

  • The bonding process: We bond the brackets on with Orthodontic Composite and place a wire. The entire procedure is painless.
  • Initial soreness: You may not feel any pain for the first hour or two, but after you may feel soreness. We recommend eating softer foods and drinking ice-cold seltzer water to relieve any possible pain. This soreness should only last 2-3 days.
  • Cheek irritation: There may be a chance that a bracket or wire causes irritation to your cheek. Use orthodontic wax or sugar-free gum on the bracket causing the irritation.
  • Appointments: You will be coming in every 5 weeks to change your o-tie colors and get an adjustment done.
  • Bracket position: There may be 1-2 visits within treatment where you'll come in for a longer appointment to adjust bracket positions for better alignment.
  • Broken brackets: If you think you have a broken bracket or wire, give us a call to repair any issues.

🪥 Oral Hygiene

Keeping your teeth clean should be your number one priority with braces! Continue seeing your general dentist every 6 months.

  • Brush at a 45-degree angle - Use small circular motions all across your teeth evenly with a soft bristle brush
  • Brush twice daily - Clean above and below each bracket, then brush the bracket itself
  • Use a proxy brush - These small brushes help clean between brackets and under wires
  • Floss daily - If you have trouble flossing, we recommend investing in a Waterpik
  • No "fuzzy" areas - You should see no fuzzy areas which may be plaque build-up on the teeth
  • Rinse with mouthwash - An antibacterial mouthwash helps reduce plaque and bacteria

⚠️ Warning: If poor oral hygiene is not taken care of throughout treatment, you may be left with 'white spots' after we remove the braces. If hygiene becomes too severe, we may have to remove the appliances altogether.

🔗 Elastics (Rubber Bands)

Elastics may be given to you during your treatment. They are most commonly used when we need to align your bite.

When Elastics Are Used:

  • Overjet: Upper teeth are too far forward
  • Overbite: Upper teeth cover too much of the lower teeth
  • Reverse overjet (Underbite): Lower teeth are in front of upper teeth

Elastic Compliance is Critical:

  • Wear 22-23 hours per day - Unless otherwise told by the doctor
  • Only remove for brushing - You may try to eat with them on, but can remove if needed
  • 12 hours is NOT enough - Wearing elastics for only 12 hours gives your teeth time to reverse back to original position
  • Non-compliance extends treatment - Not wearing elastics as directed can prolong treatment by up to 1 year!
  • Need more? - Stop by the office anytime to pick up a new bag of elastics

😣 Discomfort During Treatment

During treatment, a patient can experience some discomfort. This may be due to a wire that is too long or a broken bracket.

  • Call us - If you're experiencing any discomfort, give us a call. We'll schedule a comfort visit ASAP.
  • While waiting - Use orthodontic wax or sugar-free gum on the bracket or wire causing irritation.
  • Poking wire? - Use the eraser end of a pencil to push it down, or cover with wax until you can come in.

⚠️ Important: Although bracket breakage can occur, excessive breakage can lead to discontinuation of treatment. The first two months after you get braces, it’s normal to have a few breakages as you adjust—we treat this as a grace period. If brackets pop off within the first week, it may indicate a bonding failure caused by strong fluoride in the enamel; in those cases we’ll re-etch longer and re-bond the bracket.

🆘 Emergency Care

If you experience any of the following, please call our office:

  • Broken or loose bracket
  • Poking wire that you cannot fix with wax
  • Severe pain that doesn't improve with over-the-counter medication
  • Lost or broken rubber bands/elastics
  • Swelling or infection around braces

📞 Glendale: (718) 386-8728
📞 Garden City: (516) 265-1535

❓ Braces FAQ

Does it hurt getting braces on?

At the bonding appointment, the doctor will place brackets on the teeth using composite. Cheek retractors are used for moisture control, but the entire procedure is painless. The wires are then engaged to the brackets by the o-tie colors. You may begin to experience soreness a few hours after bonding and will need to eat soft foods for several days. Eating immediately after the bonding is allowed.

What am I not allowed to eat?

To prevent breaking any brackets, you must avoid eating hard foods. Very sticky foods like taffy can also cause the o-ties or wires to move. See the "Foods to Avoid" section above for a complete list.

How often are braces adjustments?

We typically schedule adjustment appointments every 4-5 weeks, depending on what the doctor feels is needed. We have patients come in sooner for emergency visits if anything is bothering them.

Do I still need to see my general dentist?

Yes! While we provide orthodontic treatment, we ask that you continue to see your general dentist every 6 months for checkups and cleanings.

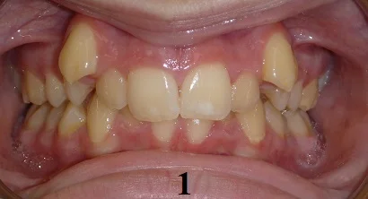
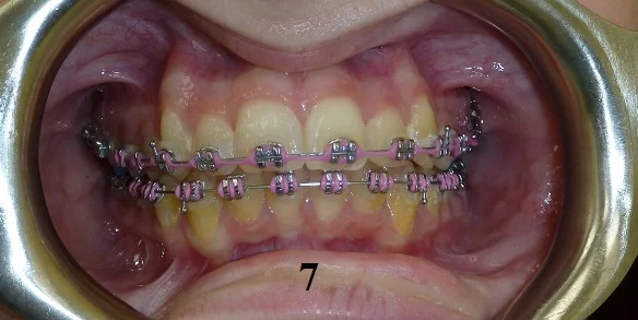
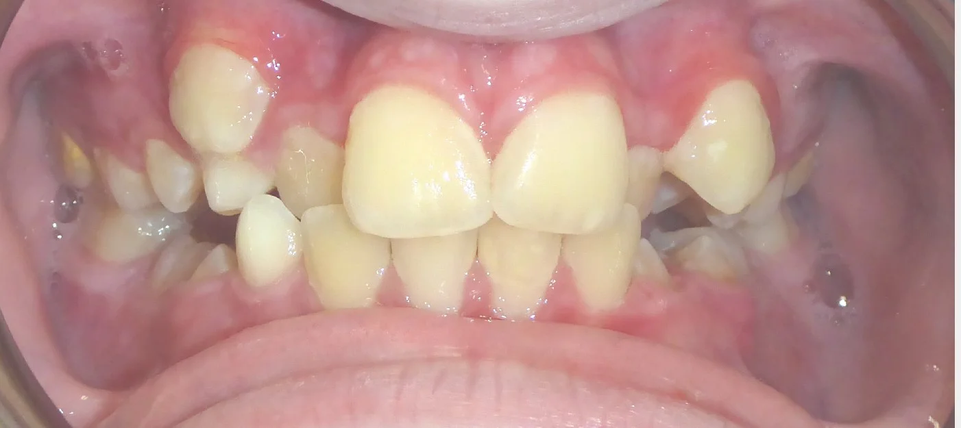
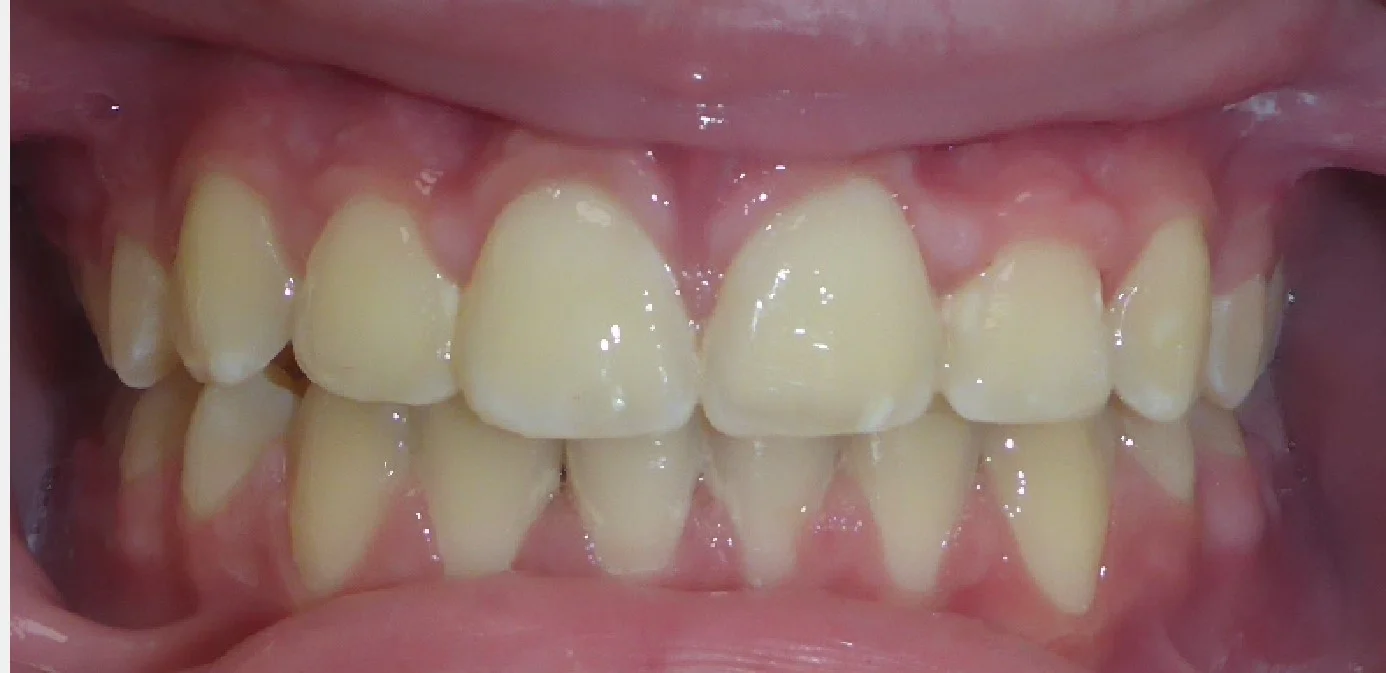
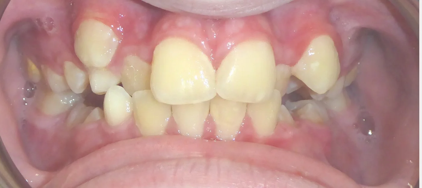
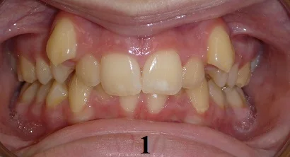
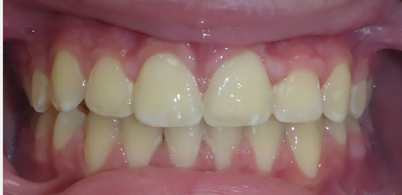
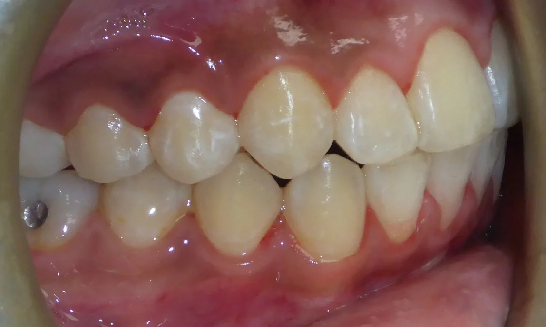
Results

Braces Before & After

See the amazing transformations achieved with traditional braces

View Full Gallery

Ready to Start Your Smile Transformation?

Schedule a free consultation to learn if braces are right for you.