Retainers

Maintain your beautiful smile for life

Retainer Instructions Video

Watch this video to learn how to properly care for your retainer

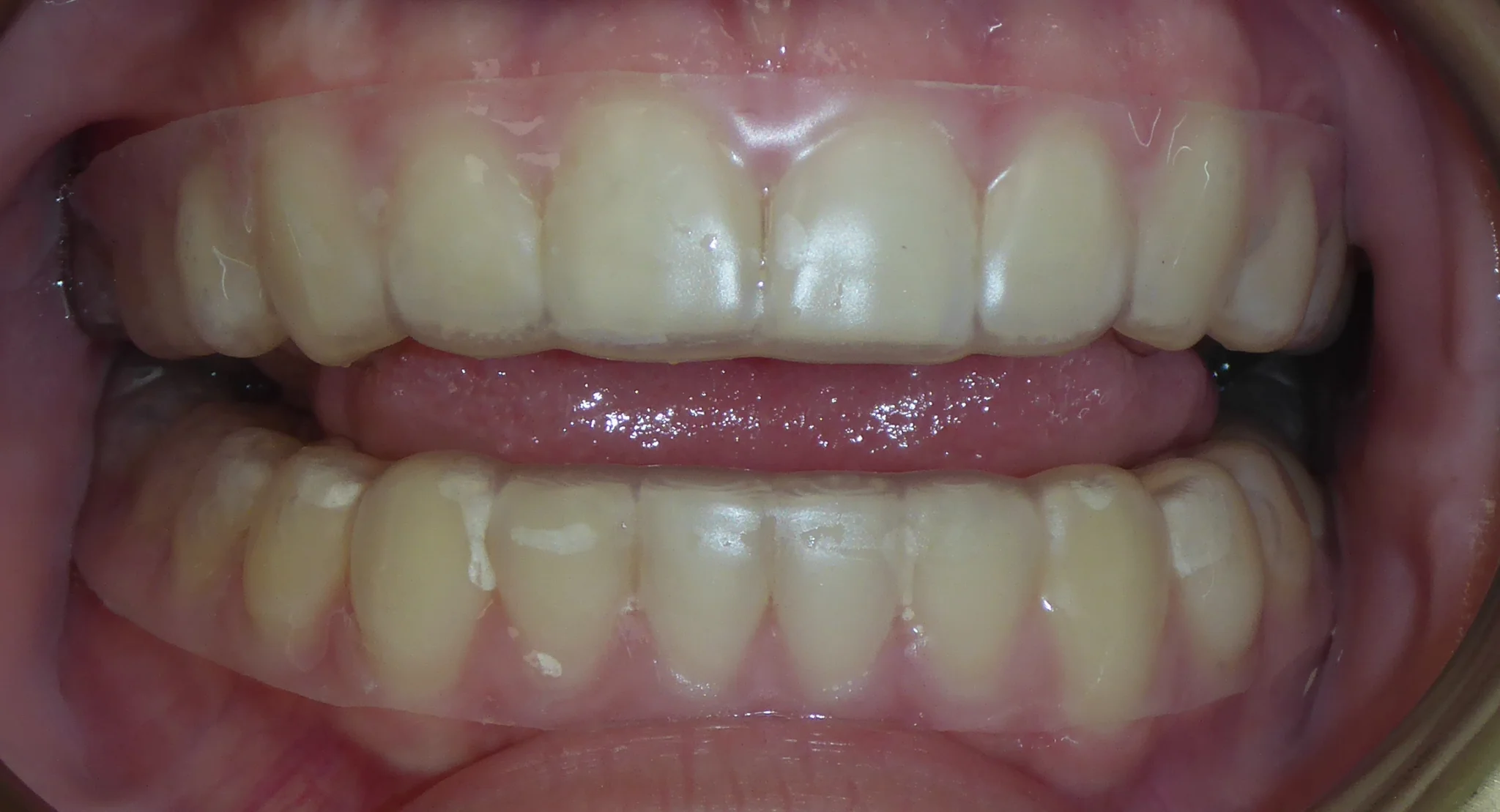
Beautiful smile with retainers
After Treatment

Why Are Retainers Important?

Congratulations on completing your orthodontic treatment! But your journey isn't quite over. Retainers are essential to keep your teeth in their new positions.

Without retainers, teeth have a natural tendency to shift back toward their original positions. Wearing your retainer as directed will help maintain your beautiful smile for years to come.

🔒

Maintains Results

Keeps teeth in their new positions

After orthodontic treatment, your teeth need time to stabilize in their new positions. Retainers provide the necessary support to prevent teeth from shifting back, ensuring your treatment results last a lifetime.

+
⏱️

Long-term Investment

Protects your treatment investment

You've invested time and money into achieving your perfect smile. Wearing retainers as directed protects that investment by preventing relapse, which could require additional treatment in the future.

+
😊

Lifetime of Smiles

Enjoy your beautiful smile forever

Consistent retainer wear ensures your beautiful smile remains stable and healthy for years to come. It's a small daily commitment that pays off with a lifetime of confidence and oral health.

+
Instructions

Retainer Care Instructions

Follow these guidelines to keep your retainer clean and effective

👍

Wearing Your Retainer

â–¼
  • Initially: Full-time wear - Wear your retainer all the time (except eating and brushing) for the first few months as directed
  • After that: Nighttime wear - Most patients transition to wearing retainers only at night
  • Consistency is key - Missing even a few nights can allow teeth to shift
  • If it feels tight - This means your teeth have shifted. Wear it more consistently!
  • Lifetime commitment - Plan to wear your retainer at night for life to maintain results
🪥

Cleaning Your Retainer

â–¼
  • Rinse after removal - Rinse with water every time you take it out
  • Brush gently - Use a soft toothbrush with clear soap or non-abrasive toothpaste
  • Soak regularly - Use retainer cleaner tablets once a week
  • Never use hot water - Heat can warp plastic retainers
  • Keep it fresh - A clean retainer means fresh breath!
📦

Storing Your Retainer

â–¼
  • Always use your case - When not in your mouth, it should be in your case
  • Never wrap in napkins - This is the #1 way retainers get thrown away!
  • Keep away from pets - Dogs love to chew on retainers
  • Don't leave in hot cars - Heat can damage the plastic
  • Have a designated spot - Always put it in the same place at home
⚠️

Important Reminders

â–¼
  • Lost or broken retainer? - Call us immediately to get a replacement
  • Retainer doesn't fit? - Come in as soon as possible - teeth may have shifted
  • Bring to appointments - We'll check the fit at your retainer check visits
  • There is a fee for replacements - Take good care of your retainer!
💎

Need a Replacement Retainer?

✨ Great News! Past patients we treated with orthodontic treatment get great discounts for replacement retainers.

Options

Types of Retainers

We offer different types of retainers based on your needs

🔲

Clear Retainers

â–¼

Transparent plastic retainers that fit over your teeth. Nearly invisible and comfortable to wear.

🔴

Hawley Retainers

â–¼

Classic retainers with acrylic and wire. Adjustable and durable. Available in fun colors!

âž–

Fixed/Bonded Retainers

â–¼

A thin wire bonded behind your teeth. Permanent and requires no daily compliance.

Questions About Your Retainer?

Contact us for retainer checks, replacements, or any questions.