
Separators
Please avoid flossing and eating anything sticky to avoid dislodging the separators. If they come out before the expander delivery appointment, please give us a call to replace the separators.
There should be no pain when we insert the expander, however the patient may experience the following:
• Difficulty swallowing
• Difficulty speaking
• Teeth soreness
For many patients, it takes around one to two days to get used to the expander. We recommend starting turns only when the patient has adapted to the expander, which is usually one to two days after insertion. Please turn as directed by the doctor. We typically will see you every 10-14 days to see if more expansion is necessary. Once we have reached our desired amount of expansion, we will see you every two to three months until the expander is ready to be removed.
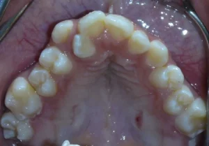
To ensure that you are turning the expander properly, see the photos below and read the instructions accordingly:
Does an expander hurt?
No, your expander should not hurt, although it may be slightly uncomfortable when you initially have the expander placed.
How long does the expander stay in for?
Your expander typically stays in your mouth for about 10-12 months. Active expansion takes place during the first 3 months. Once expansion is complete, the expander will stay on to retain the palatal expansion created.
How old do you have to be to get an expander?
The typical age for an expander is 10-13 years old, but younger and even older patients may need one, varying with each case.
Can I get an expander if I am older than 13?
Not usually, but patients as old as 19 may need an expander as well. Expanders are typically for younger patients because they are still growing and their ligaments are more mobile than an older individual.
How do I know if my child needs an expander?
There can be multiple reasons why you may need an expander. It may be because of crowding, a posterior crossbite, or impacted canines. If you are still unsure, contact us to schedule a consultation!
I am experiencing pain with my expander, what should I do?
Schedule an appointment with us ASAP! You may have an issue with your expander that is causing you pain.
How often do I turn my expander?
You will typically turn your expander once or twice per day for two weeks, but this may vary according to your doctor’s instructions. If you forget how many turns you should be doing, do not hesitate to call us for a reminder.
Does placing the expander hurt?
No! It is a simple procedure of sliding the expander on the teeth and cementing it in place.
How long will I have a lisp for?
You will have a lisp for the first week with the appliance on. When you are at home or alone, read something out loud, whether it be an article or a book. This will help your tongue adapt to the expander and will quickly get rid of your lisp.






















